1890361013202189

1890361013202189
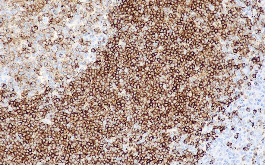
Clone number: SP104
isotype: rabbit monoclonal antibody
Cellular localization: cytoplasm/membrane
tissue: paraffin/frozen
Positive control: tonsils
Antibody incubation time: 30-60min
Antigen repair: Thermal repair (Tris-EDTA)
The CD22 antigen molecule is a transmembrane protein with a relative molecular mass of 135k and is a B lymphocyte-restricted antigen. In B cells and pre-B cells, CD22 antigen is present only in the cytoplasm, and is expressed on the cell membrane upon differentiation to mature B cells, with increased expression upon activation.CD22 antigen disappears when B cells differentiate to terminal stage plasma cells.CD22 is an adhesion molecule and is widely expressed in both normal B cells and B-cell lymphoma cells.Strong positivity is seen in hairy cell leukemia and its subtypes, weak positivity in chronic lymphocytic leukemia is weakly positive, and cytoplasmic positivity in some B-lymphoblastic leukemias is considered to be cell lineage specific. Literature indicates that CD22 is strongly expressed as CD22 antigen in diffuse large B-cell lymphoma and nodular lymphocyte predominant Hodgkin's lymphoma, weakly expressed as CD22 antigen in follicular lymphoma, and not in classic Hodgkin's lymphoma. In recent years, CD22 has become a therapeutic target for autoimmune diseases and B-cell malignancies, and one of the more well-established research is the humanized antibody Epratuzumab. Epratuzumab is a humanized antibody that is used to assist in the diagnosis and differential diagnosis of B-cell lymphomas.
CD22 Antibody Reagent binds specifically to the CD22 molecular antigen. Immunohistochemistry kits containing CD22 Antibody Reagent are suitable for the precise diagnosis of B-cell lymphoma.