6461235407748

6461235407748
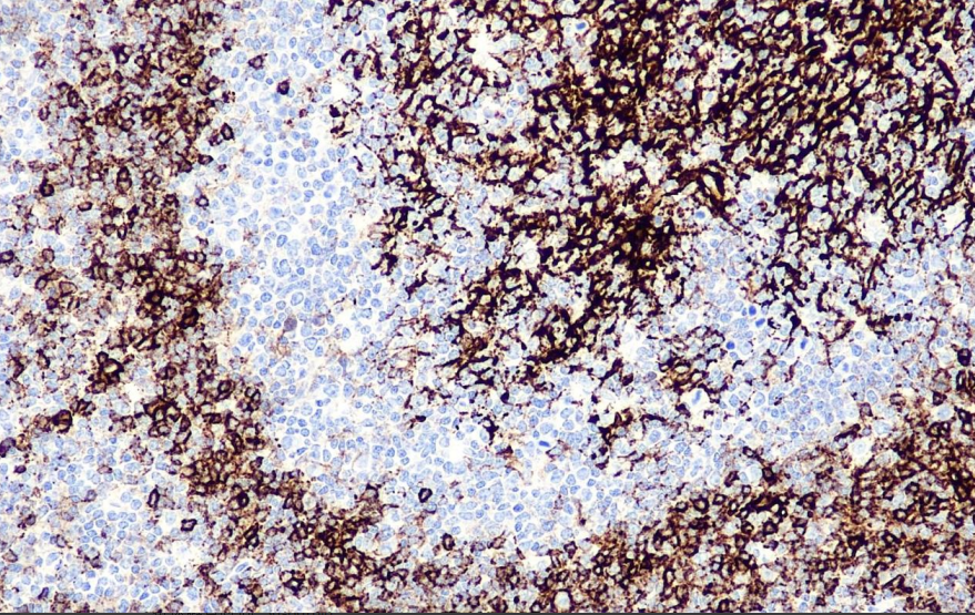
Clone number: SP23
Isotype: rabbit monoclonal antibody IgG
Cellular localization: cell membrane
Tissue: paraffin/frozen
Positive control: tonsils
Antibody incubation time: 30-60min
Antigen repair: Heat repair (EDTA)
CD23 is a cell membrane surface glycoprotein with a molecular weight of 45 kD that is expressed in certain subpopulations of peripheral blood cells, B lymphocytes, and EBV-transfected B lymphoma cell lines, as well as in chronic lymphocytic leukemia and some centroblastic lymphomas.
CD23 Antibody Reagent binds specifically to the CD23 molecular antigen. Immunohistochemistry kits containing CD23 Antibody Reagent are indicated for the precise diagnosis of chronic lymphocytic leukemia (CLL) and follicular lymphoma.