8081520528935

8081520528935
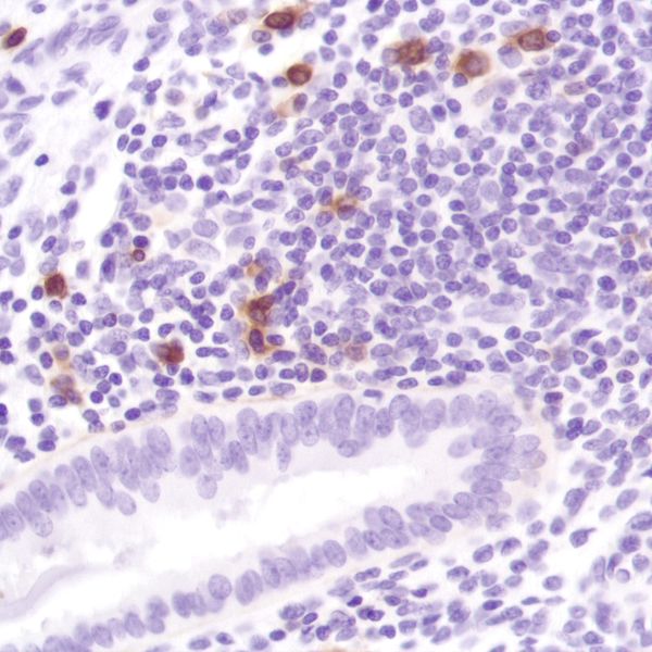
Clone number: EP218
Isotype: Rabbit Monoclonal Antibodies
Cellular localization: cell membrane
Adaptive tissue: paraffin/frozen
Positive control: Lymphoma
Antibody incubation time
Antigen repair: heat repair (citric acid)
CD25, the alpha subunit of the interleukin 2 receptor, is a single-chain glycoprotein with a molecular weight of 55 kD, which is mainly expressed in activated T cells, HTLV-1/2-positive T-cell lines, and to a lesser extent in activated B cells, NK cells and macrophages.
CD25 Antibody Reagent binds specifically to the CD25 molecular antigen. Immunohistochemistry kits containing CD25 Antibody Reagent are indicated for the precise diagnosis of activated lymphocytes and systemic mastocytosis.