
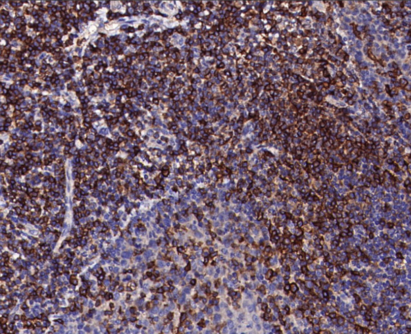
Clone number: 137B4
Isotype: Mouse Monoclonal Antibodies
Cellular Localization: Cytoplasm/membrane
Adaptive tissue: paraffin section
Positive Control:
Antibody Incubation Time:
Antigen Repair:
In some lymphohematopoietic tumors, the expression of CD27 is helpful in determining the origin of the tumor cells. In the differentiation between Hodgkin's lymphoma and non-Hodgkin's lymphoma, tumor cells of classical Hodgkin's lymphoma usually do not express CD27, while some types of non-Hodgkin's lymphoma, such as diffuse large B-cell lymphoma, may express CD27.In addition, in T-cell lymphomas, the expression of CD27 varies among different subtypes, which can help to further subdividing the tumor types and provide a basis for accurate diagnosis and treatment. The results will help to further classify tumor types and provide a basis for precise diagnosis and treatment.
CD27 Antibody Reagent binds specifically to the CD27 molecular antigen. Immunohistochemistry kits containing CD27 Antibody Reagent are suitable for the precise diagnosis of Hodgkin's lymphoma.