6081140418704

6081140418704
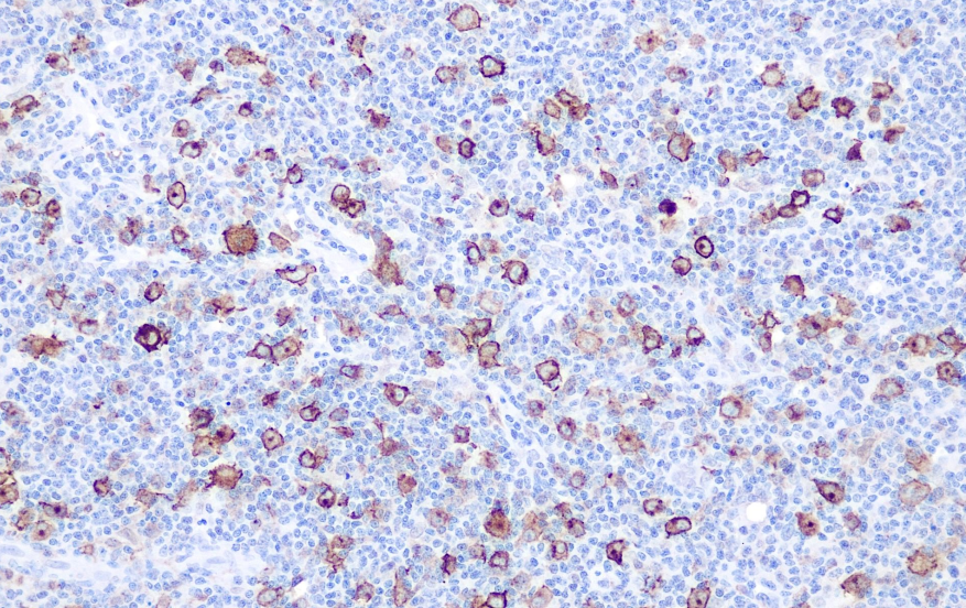
Clone number: Ber-H2
Isotype: mouse monoclonal antibody IgG1/K
Cellular localization: cell membrane
tissue: paraffin/frozen
Positive control: Hodgkin's lymphoma
Antibody incubation time: 60min
Antigen repair: Thermal repair (Tris-EDTA)
CD30 is a glycoprotein with a molecular weight of 120 kD expressed in activated T/B cells, R-S cells, some perilymphoid follicles, and is a marker for R-S cells and most mesenchymal large cell lymphoma cells.Positive sites of CD30 should be located in the cell membrane, and cytoplasmic staining alone should be regarded as nonspecific staining.
CD30 Antibody Reagent binds specifically to the CD30 molecular antigen. Immunohistochemistry kits containing CD30 Antibody Reagent are indicated for the precise diagnosis of Hodgkin's Lymphoma (HL) and Anaplastic Large Cell Lymphoma (ALCL).