5601045352649

5601045352649
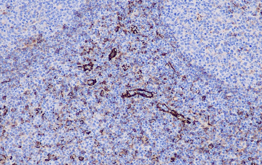
Clone number: UMAB30
Isotype: mouse monoclonal antibody IgG1/K
Cellular localization: cell membrane
Tissue: paraffin/frozen
Positive control: tonsils/placenta
Antibody incubation time: 30-60min
Antigen repair: Thermal repair (EDTA)
CD31 antigen (PECAM-1) is a 140 kD cell membrane surface single chain glycoprotein expressed mainly in platelets, monocytes, granulocytes, B-lymphocytes and endothelial cells. This antibody is mainly used for the diagnosis and differential diagnosis of benign/malignant tumors of vascular origin and the study of angiogenic status in the mesenchyme of various tumors.
CD31 Antibody Reagent binds specifically to CD31 molecular antigen. Immunohistochemistry kits containing CD31 Antibody Reagent are suitable for precise diagnosis of benign/malignant tumors of vascular origin.