7881520473913

7881520473913
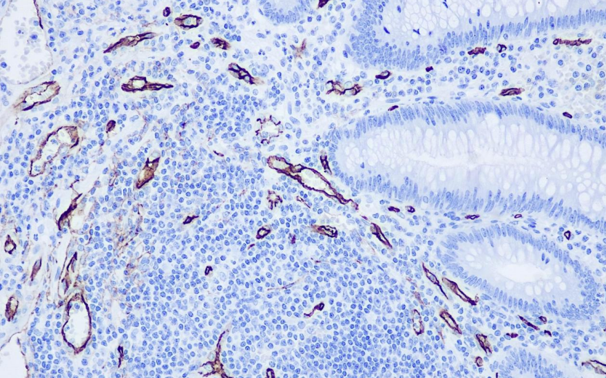
Clone number: EP88
Isotype: rabbit monoclonal antibody IgG1
Cellular localization: cell membrane
Tissue: paraffin/frozen
Positive control: appendix
Antibody incubation time: 30-60min
Antigen repair: Heat repair (EDTA)
CD34 is a single-chain membrane-penetrating protein with a molecular weight of 110 kD, expressed in early lymphoid hematopoietic stem cells, progenitor cells, vascular endothelial cells, embryonic fibroblasts, and cells of certain neural tissues. It is mainly used in the diagnosis and differential diagnosis of benign/malignant tumors of vascular origin, as well as the diagnosis of gastrointestinal mesenchymal tumors in combination with CD117 and DOG-1.
CD34 Antibody Reagent binds specifically to CD34 molecular antigen. Immunohistochemistry kits containing CD34 Antibody Reagent are indicated for the precise diagnosis of myeloid leukemia and benign/malignant tumors of vascular origin.