7411425451858

7411425451858
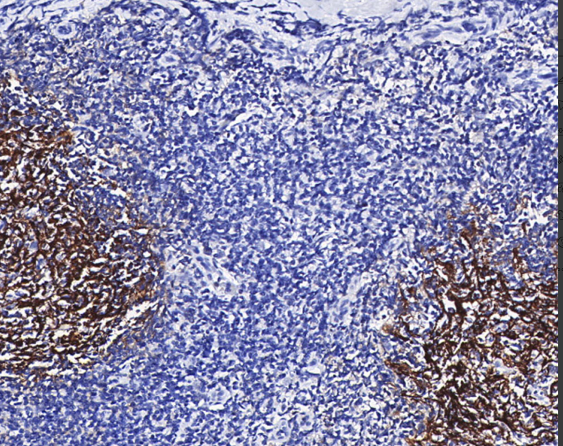
Clone number: EP197
Isotype: Rabbit Monoclonal Antibodies
Cellular localization: cell membrane
Tissue: paraffin/frozen
Positive control: tonsils
Antibody incubation time:
Antigen repair: heat repair (citric acid)
CD35 is a membrane-penetrating glycoprotein with a molecular weight of 210 to 220 kD that binds to complement C3b and C4b, so it is also known as the complement receptor.1 CD35 is expressed on all CD20+ B lymphocytes, CD14+ monocytes, and neutrophils, and in certain subsets of T cells (~5%).
CD35 Antibody Reagent binds specifically to the CD35 molecular antigen. Immunohistochemistry kits containing CD35 Antibody Reagent are suitable for the precise diagnosis of follicular dendritic cells and their tumors.