304570198352

304570198352
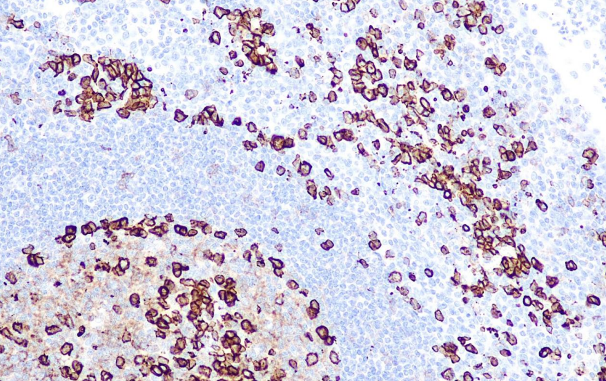
Clone number: SPC32
isotype: mouse monoclonal antibody
Cellular localization: cytoplasm/membrane
Tissue: paraffin section
Positive Control: Positive
Antibody incubation time:
Antigen Repair:
CD38 is a type II membrane-penetrating glycoprotein with a molecular weight of 46 kD.CD38 is expressed in thymocytes, pre-B cells, germinal center B cells, plasma cells, monocytes, NK cells, mitogen-activated T cells, etc. It can be used for the study of the typing of acute leukemias and the role of activated T cells in autoimmunity and immune deficiencies, and can also be used for the diagnosis of plasma cell tumors.
CD38 Antibody Reagent binds specifically to the CD38 molecular antigen. Immunohistochemistry kits containing CD38 Antibody Reagent are suitable for the precise diagnosis of plasma cell tumors as well as for the typing of acute leukemias.