5791130385671

5791130385671
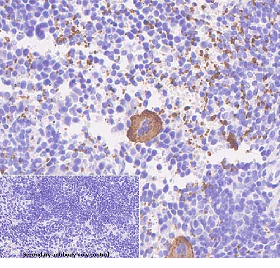
Clone number: EP409
isotype: rabbit monoclonal antibody
Cellular localization: cell membrane
Tissue: paraffin section
Positive control:
Antibody incubation time:
Antigen Repair:
CD42b, encoded by the GP1BA gene, is a surface membrane glycoprotein that is expressed on the membranes of megakaryocytes and platelets.CD42b forms part of the CD42b-d complex of surface platelet receptors for vascular endothelial cells (also known as the glycoprotein Ib-IX-V receptor).CD42b can be used to differentiate between acute megakaryoblastic leukemia subtypes.CD42b is negatively expressed in acute myelofibrosis CD42b is negatively expressed in acute myelofibrosis.
CD42b Antibody Reagent binds specifically to CD42b molecular antigen. Immunohistochemistry kits containing CD42b Antibody Reagent are indicated for the precise diagnosis of immune thrombocytopenia (ITP), myelodysplastic syndromes (MDS), and megakaryocytic leukemia.