332646209385

332646209385
Clone number: DF-T1
Isotype: mouse monoclonal antibody IgG1/K
Cellular localization: cell membrane
Tissue: paraffin/frozen
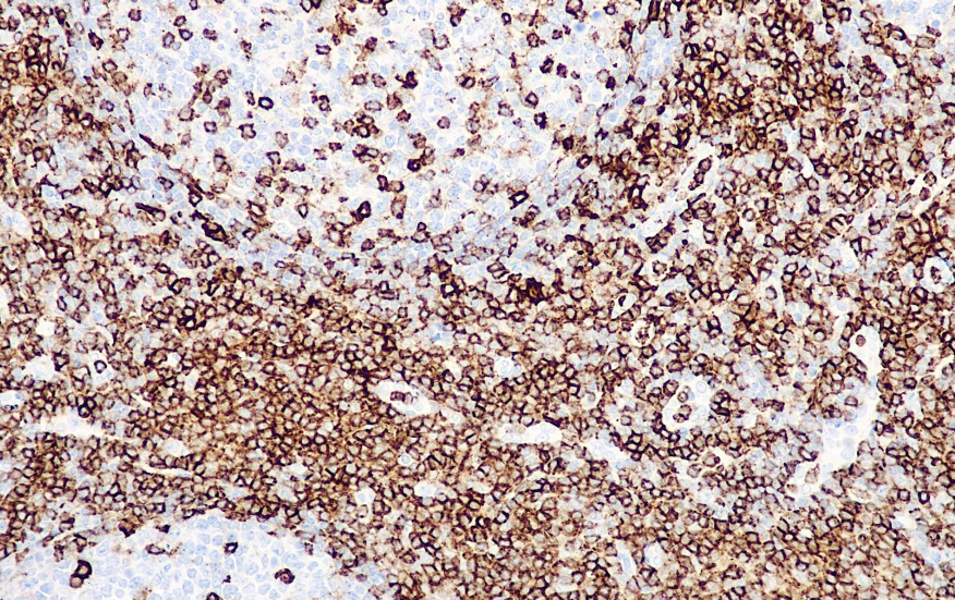
Positive control: tonsils
Antibody incubation time: 30min
Antigen repair: Heat repair (EDTA)
CD43 is a transmembrane glycoprotein expressed on the membrane surface of normal and tumorigenic T cells. It can label most T-cell lymphomas, but about 30% of B-cell lymphomas are also positive, so this antibody is usually used in combination with antibodies labeling T and B cells to aid in the diagnosis of T-cell lymphomas.
CD43 Antibody Reagent binds specifically to CD43 molecular antigen. Immunohistochemistry kits containing CD43 Antibody Reagent are indicated for the precise diagnosis of lymphoma and T-cell lymphoma.