5411045319627

5411045319627
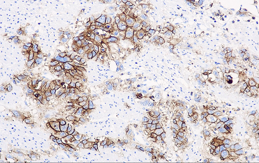
Clone number: MRQ-13
Isotype: mouse monoclonal antibody IgG2a
Cellular localization: cell membrane
Tissue: paraffin/frozen
Positive control: Urothelial carcinoma
Antibody incubation time: 30-60min
Antigen repair: Heat repair (citric acid)
CD44 is a member of the glycoprotein family contains several isoforms, of which the common standard or hematopoietic isoforms (CD44s), with a molecular weight of 85-95 kD, are found in mesodermal tissues such as hematopoietic cells, fibroblasts, neuroglia, and some cancer cell lines. The high molecular weight isoform (CD44v) is found in epithelial cells and plays an important role in intercellular adhesion and matrix junctions. The functions and distribution of other CD44 family proteins have not been fully elucidated, but it is clear that CD44 family proteins play a role in embryonic development, angiogenesis, cell-specific adhesion, signaling, and cell migration. Recent studies have shown a correlation between CD44 expression and the nuclear proliferation antigen Ki-67, and the expression of CD44 in adenomatous polyps, colon cancer, and proximal mucosa suggests that it is involved in the stimulation of cell proliferation.Complexes of CD44v and hyaluronan are essential during tumor invasion, and the associated receptor binds to the complexes, subsequently degrading the hyaluronan.CD44v is expressed in proliferative form in a number of tumors and is It is involved in the process of tumor progression and dedifferentiation, including non-Hodgkin's lymphoma, hepatocellular carcinoma, breast cancer, renal cell carcinoma, colon cancer, malignant melanoma, prostate cancer, gastric cancer, and some soft tissue tumors. In contrast, expression is decreased in adult neuroblastoma, squamous skin cancer and basal cell carcinoma. Currently, immunohistochemical detection of CD44 is commonly used to distinguish urothelial migratory cell carcinoma in situ from benign uroepithelial lesions.
CD44 Antibody Reagent binds specifically to CD44 molecular antigen. Immunohistochemistry kits containing CD44 Antibody Reagent are indicated for the precise diagnosis of breast, prostate, colorectal, urothelial migratory cell carcinoma in situ and benign uroepithelial lesions.