313579198363

313579198363
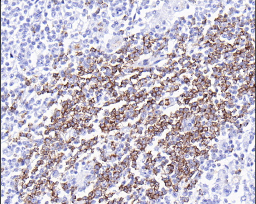
Clone number: 4KB5
isotype: mouse monoclonal antibody
Cellular localization: cell membrane
Tissue: paraffin section
Positive Control:
Antibody incubation time:
Antigen Repair:
CD45RA is an isoform of CD45 with a molecular weight of 220 kDa. It is expressed on most B-cell lymphocytes and lymphomas, some medullary thymocytes, and 10% of T-cell lymphomas. CD45RA is used in conjunction with other antibodies for the diagnosis and investigation of B-cell lymphomas.
CD45 Antibody Reagent binds specifically to the CD45 molecular antigen. Immunohistochemistry kits containing CD45 Antibody Reagent are suitable for the precise diagnosis of B-cell lymphoma.