342675220396

342675220396
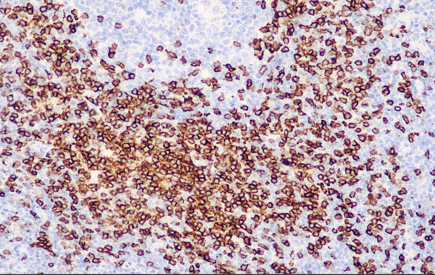
Clone number: UCH-L1
Isotype: mouse monoclonal antibody
Cellular localization: cell membrane
Tissue: paraffin/frozen
Positive control: tonsils
Antibody incubation time: 30-60min
Antigen repair: Heat repair (EDTA)
CD45RO is an isoform of CD45 with a molecular weight of 180 kD that is expressed on 48% of peripheral blood T-lymphocytes, 37% of CD4+ lymphocytes, 80% of thymocytes, and the vast majority of T-cell neoplasms, and is a highly sensitive marker of T-cell lineages.
CD45RO Antibody Reagent binds specifically to the CD45RO molecular antigen. Immunohistochemistry kits containing CD45RO Antibody Reagent are indicated for the precise diagnosis of T-cell lymphomas and B-cell lymphomas.