简体中文English

PRODUCT
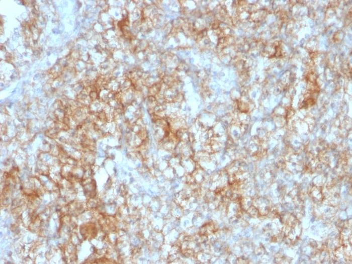
CD147抗体试剂
零售价格(RMB):

产品货号:R-0401096Ⅰ-01/R-0401096Ⅰ-02/R-0401096Ⅱ-01/R-0401096Ⅱ-02
产品型号:Ⅰ型(上机即用型)/Ⅱ型(手工即用型)
备案号:
产品简介

克隆号:OTI4D3

同型:鼠单克隆抗体

细胞定位:细胞质/膜

适用组织: 石蜡切片

阳性对照: 

抗体孵育时间: 

抗原修复: 


背景资料

CD147又称为basigin,是相对分子量为50-60kDa的跨膜糖蛋白,为免疫球蛋白超家族(IgSF)成员,由该基因编码的蛋白质在精子发生、胚胎植入、神经网络形成和肿瘤进展中有重要作用。CD147广泛分布于造血及非造血组织,在肿瘤细胞表达增高,并可激活邻近的成纤维细胞产生基质金属蛋白酶(MMP),可能与肿瘤的侵袭和转移相关。此抗体可用于多种疾病的研究。


临床价值

CD147抗体试剂可与CD147分子抗原特异性结合,含CD147抗体试剂的免疫组化试剂盒适用于肝癌、乳腺癌、胶质瘤的辅助诊断。