简体中文English

PRODUCT
E-Cadherin抗体试剂
零售价格(RMB):

5421045341627

产品货号:R-0401121Ⅰ-01/R-0401121Ⅰ-02/R-0401121Ⅱ-01/R-0401121Ⅱ-02
产品型号:Ⅰ型(上机即用型)/Ⅱ型(手工即用型)
备案号:
产品简介

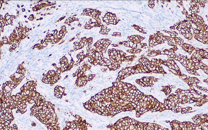
克隆号:EP60

同型:兔单克隆抗体

细胞定位:细胞膜

适用组织: 石蜡/冰冻

阳性对照: 乳腺癌

抗体孵育时间: 30min

抗原修复: 热修复(EDTA)


背景资料

E-Cadherin是一种在上皮细胞中表达的粘附蛋白。在腺上皮以及肺、胃肠道腺癌和卵巢中存在表达。可用于区分腺癌(+)和间皮瘤(-),乳腺导管癌(+)和乳腺小叶癌(-),在一些甲状腺癌中呈阳性。E-Cadherin在乳腺癌和非小细胞肺癌中的表达下降或缺失,常作为预后不良的标志。目前主要用于各种恶性肿瘤细胞的侵袭和转移的研究,是肿瘤进展、预后的重要标记物之一。

临床价值

E-Cadherin抗体试剂可与E-Cadherin分子抗原特异性结合,含E-Cadherin抗体试剂的免疫组化试剂盒适用于乳腺癌和胃癌的精准诊断。