简体中文English

PRODUCT
EMA抗体试剂
零售价格(RMB):

323627198374

产品货号:R-0401124Ⅰ-01/R-0401124Ⅰ-02/R-0401124Ⅱ-01/R-0401124Ⅱ-02
产品型号:Ⅰ型(上机即用型)/Ⅱ型(手工即用型)
备案号:
产品简介

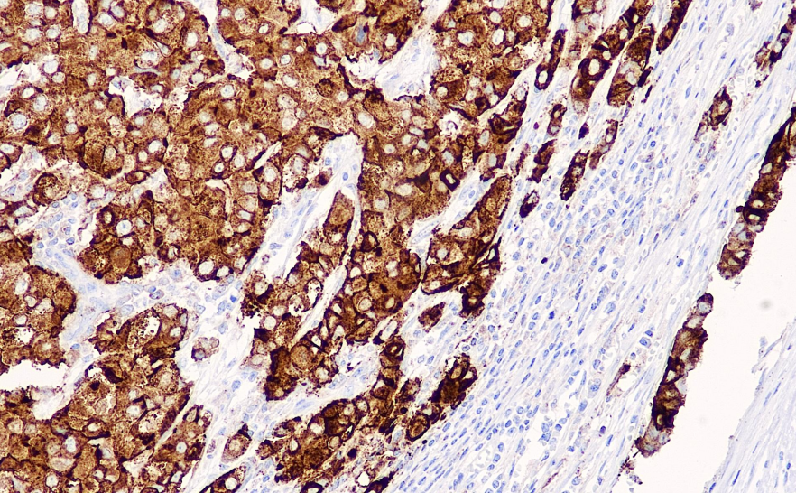
克隆号:GP1.4

同型:鼠单克隆抗体

细胞定位:细胞质

适用组织: 石蜡/冰冻

阳性对照: 乳腺癌

抗体孵育时间: 30-60min

抗原修复: 热修复(EDTA)


背景资料

EMA是一组糖蛋白,广泛分布于各种上皮细胞及其来源的肿瘤,是许多肿瘤组织的标记物。EMA阳性表达的肿瘤包括大多数癌、间皮瘤、滑膜肉瘤和上皮样肉瘤等,但在肝癌、肾上腺癌,恶性淋巴瘤、黑色素瘤和软组织肿瘤中几乎不表达。



临床价值

EMA抗体试剂可与EMA分子抗原特异性结合,含EMA抗体试剂的免疫组化试剂盒适用于间皮瘤、滑膜肉瘤和上皮样肉瘤的精准诊断。