简体中文English

PRODUCT
ERG抗体试剂
零售价格(RMB):

446855275517

产品货号:R-0401126Ⅰ-01/R-0401126Ⅰ-02/R-0401126Ⅱ-01/R-0401126Ⅱ-02
产品型号:Ⅰ型(上机即用型)/Ⅱ型(手工即用型)
备案号:
产品简介

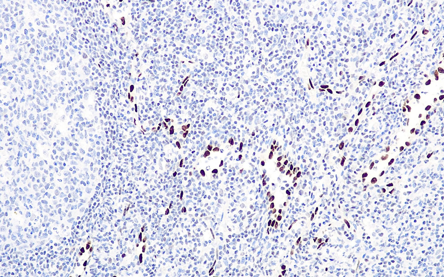
克隆号:UMAB78

同型:鼠单克隆抗体

细胞定位:细胞核

适用组织: 石蜡/冰冻

阳性对照: 扁桃体

抗体孵育时间: 30-60min

抗原修复: 热修复(EDTA)


背景资料

ERG 是母红血球病病毒 E26 转换序列(ETS)转录因子的基因家族成员之一,它在淋巴细胞和内皮细胞表达,调节内皮细胞凋亡和血管生成。研究发现 ERG 在良性和恶性的血管肿瘤都有表达。 ERG 抗体对血管肿瘤有高度敏感性。 ERG 被发现在前列腺癌和高级别的前列腺上皮内瘤样病变( HGPIN)有表达。它在除前列腺癌以外的其它上皮来源肿瘤很少阳性表达。有一个研究显示, ERG 在所有乳腺癌、胃肠道癌、妇科系统癌、肾癌、肺癌、卵巢癌、胰腺癌、唾液腺癌、皮肤癌、甲状腺癌、和睾丸癌等都是阴性表达。 ERG 被发现也在少数尤文氏肉瘤有表达,这是由于 ERG 和 EWSR1 基因融合导致的染色体重排而造成的。 ERG 还会因为与 Fli-1 交叉性反应而在一些脑膜瘤有表达染色。

临床价值

ERG抗体试剂可与ERG分子抗原特异性结合,含ERG抗体试剂的免疫组化试剂盒适用于前列腺癌的精准诊断。