简体中文English

PRODUCT
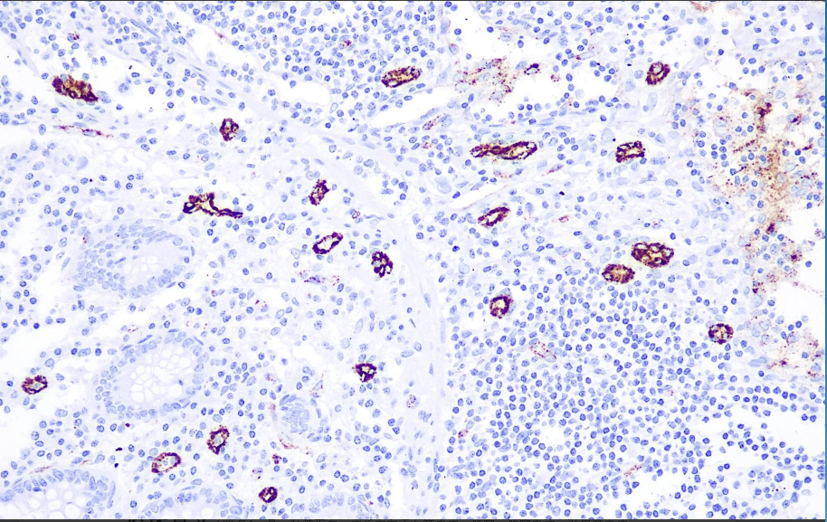
Factor Ⅷ受体抗体试剂
零售价格(RMB) :

380665286440

产品货号:R-0401129Ⅰ-01/R-0401129Ⅰ-02/R-0401129Ⅱ-01/R-0401129Ⅱ-02
产品型号:Ⅰ型(上机即用型)/Ⅱ型(手工即用型)
备案号:
产品简介

克隆号:polyclonal

同型:兔多克隆抗体

细胞定位:细胞质

适用组织: 石蜡/冰冻

阳性对照: 阑尾

抗体孵育时间: 60min

抗原修复: 热修复(EDTA)


背景资料

Ⅷ因子相关抗原存在于人的血管内皮细胞、巨核细胞和血小板。此抗体可以用于血管源性良性和恶性肿瘤的诊断,血管外皮细胞瘤常阴性表达。由于其也存在于正常的血浆和血小板中,在出血或血管损伤部位必有阳性着色,所以应注意区分。

临床价值

Factor Ⅷ抗体试剂可与Factor Ⅷ分子抗原特异性结合,含Factor Ⅷ抗体试剂的免疫组化试剂盒适用于血管内皮良恶性肿瘤和血管肉瘤的精准诊断。