简体中文English

PRODUCT
Factor XⅢ A抗体试剂
零售价格(RMB) :

128223277591485

产品货号:R-0401130Ⅰ-01/R-0401130Ⅰ-02/R-0401130Ⅱ-01/R-0401130Ⅱ-02
产品型号:Ⅰ型(上机即用型)/Ⅱ型(手工即用型)
备案号:
产品简介

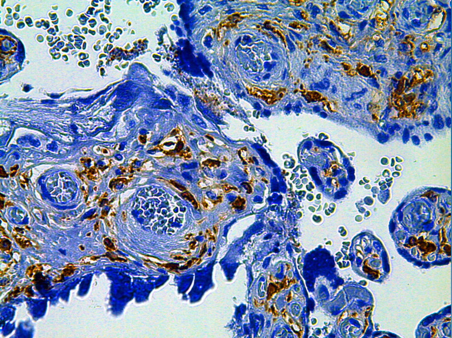
克隆号:EP3372

同型:兔单克隆抗体

细胞定位:细胞质

适用组织: 石蜡/冰冻

阳性对照: 胎盘

抗体孵育时间: 30-60min

抗原修复: 热修复(EDTA)


背景资料

Ⅷ因子是血浆中发现的一种β球蛋白,由两个亚单位组成。Ⅷ因子A是其催化亚单位。Ⅷ因子A是皮肤树突状细胞的标志物,并且能和这些细胞来源的肿瘤反应。此抗体可用于组织细胞表型标记,也有报道显示可以标记毛细血管瘤和中枢神经系统的肿瘤。

临床价值

Factor XⅢ A抗体试剂可与Factor XⅢ A分子抗原特异性结合,含Factor XⅢ A抗体试剂的免疫组化试剂盒适用于先天性XIII因子缺乏症的精准诊断。