简体中文English

PRODUCT
HLA-DR抗体试剂
零售价格(RMB) :

304579198352

产品货号:R-0401160Ⅰ-01/R-0401160Ⅰ-02/R-0401160Ⅱ-01/R-0401160Ⅱ-02
产品型号:Ⅰ型(上机即用型)/Ⅱ型(手工即用型)
备案号:
产品简介

克隆号:

同型:兔单克隆抗体

细胞定位:细胞膜/质

适用组织: 石蜡/冰冻

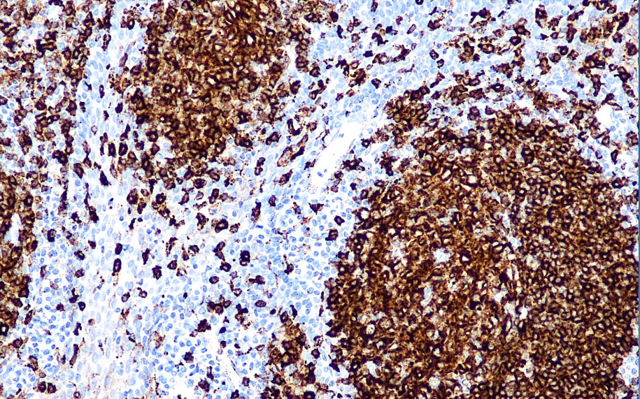
阳性对照: 扁桃体

抗体孵育时间: 30-60min

抗原修复: 热修复(EDTA)


背景资料

HLA-DR即人类白细胞抗原Ⅱ类基因中的DR亚区,其编码的蛋白是分子量为29-33kD的双链分子,主要表达于某些免疫细胞表面,如B细胞、单核/巨噬细胞、树突状细胞及活化的T细胞。此抗体可用于淋巴瘤及白血病的分型。

临床价值

HLA-DR抗体试剂可与HLA-DR分子抗原特异性结合,含HLA-DR抗体试剂的免疫组化试剂盒适用于淋巴瘤及白血病的精准诊断。