简体中文English

PRODUCT
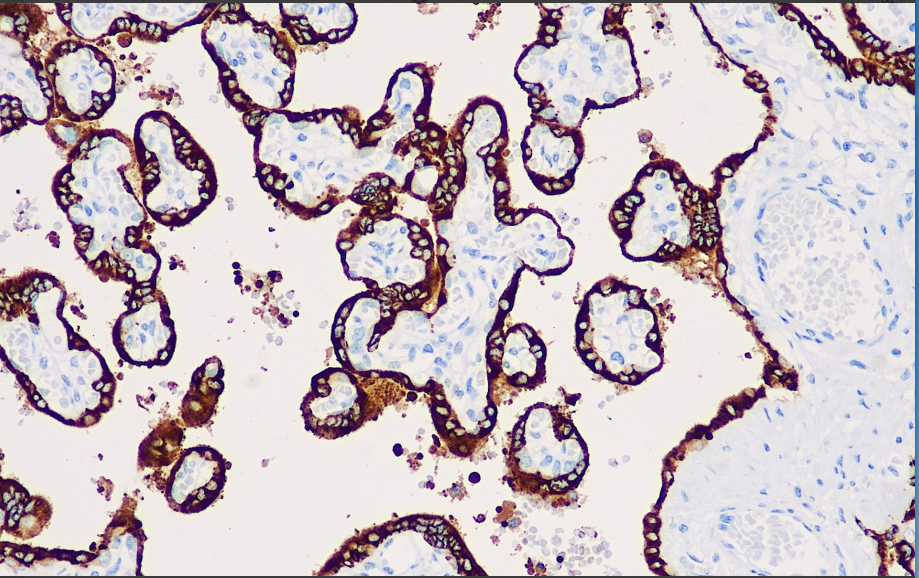
Human Placental Lactogen,HPL抗体试剂
零售价格(RMB):

266494165308

产品货号:R-0401167Ⅰ-01/R-0401167Ⅰ-02/R-0401167Ⅱ-01/R-0401167Ⅱ-02
产品型号:Ⅰ型(上机即用型)/Ⅱ型(手工即用型)
备案号:
产品简介

克隆号:

同型:兔单克隆抗体

细胞定位:细胞质

适用组织: 石蜡/冰冻

阳性对照: 胎盘

抗体孵育时间: 30-60min

抗原修复: 热修复(EDTA)


背景资料

人胎盘催乳素(hPL)被认为起源于合胞体滋养层。超微结构定位表明,胎盘催乳素以小的不同形态的细胞质颗粒存在于这些细胞中,且从不同的激素来源如人类绒毛膜促性腺激素等有不同的分泌机制。妊娠后胎盘催乳素的表达水平会逐渐增加。常见用于绒癌、睾丸癌、乳腺癌和卵巢癌等研究。

临床价值

hPL抗体试剂可与hPL分子抗原特异性结合,含hPL抗体试剂的免疫组化试剂盒适用于绒癌、睾丸癌、乳腺癌和卵巢癌的精准诊断。