简体中文English

PRODUCT
PU.1抗体试剂
零售价格(RMB):

产品货号:R-0401272Ⅰ-01/R-0401272Ⅰ-02/R-0401272Ⅱ-01/R-0401272Ⅱ-02
产品型号:Ⅰ型(上机即用型)/Ⅱ型(手工即用型)
备案号:
产品简介

克隆号:

同型:

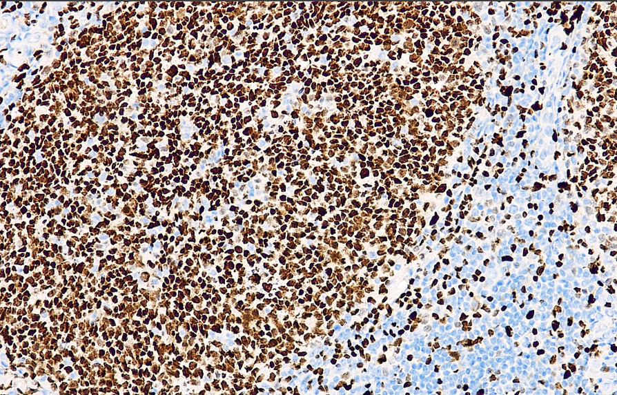
细胞定位:细胞核

适用组织: 石蜡/冰冻

阳性对照: 扁桃体

抗体孵育时间: 30-60min

抗原修复: 热修复(EDTA)


背景资料

PU.1作为一个转录因子,属于Ets蛋白家族,在正常B细胞的发育过程中发挥重要作用。在骨髓细胞系及B细胞中表达,浆细胞不表达。 PU.1在B细胞的早期分化过程是必不可少的,若缺乏会使B细胞发育停滞在早前期。 PU.1在生发中心和套区B细胞中表达,同样在各种淋巴瘤中表达,其中包括:慢性B淋巴细胞白血病、套细胞淋巴瘤、滤泡性淋巴瘤、边缘区淋巴瘤、弥漫性大细胞淋巴瘤、弥漫性大B细胞淋巴瘤、结节性淋巴细胞霍奇金淋巴瘤。Torlakovic等人的研究表明在滤泡性淋巴瘤中生发中心抗原(包括PU.1)的高表达与总生存期和进展生存期有着可量化的正相关联系。

临床价值

PU.1抗体试剂可与PU.1分子抗原特异性结合,含PU.1抗体试剂的免疫组化试剂盒适用于急性髓系白血病/AML、淋巴瘤等的辅助诊断。