简体中文English

PRODUCT
Bcl-6抗体试剂
零售价格(RMB):

95017386051100

产品货号:R-0401022Ⅰ-01/R-0401022Ⅰ-02/R-0401022Ⅱ-01/R-0401022Ⅱ-02
产品型号:Ⅰ型(上机即用型)/Ⅱ型(手工即用型)
备案号:
产品简介

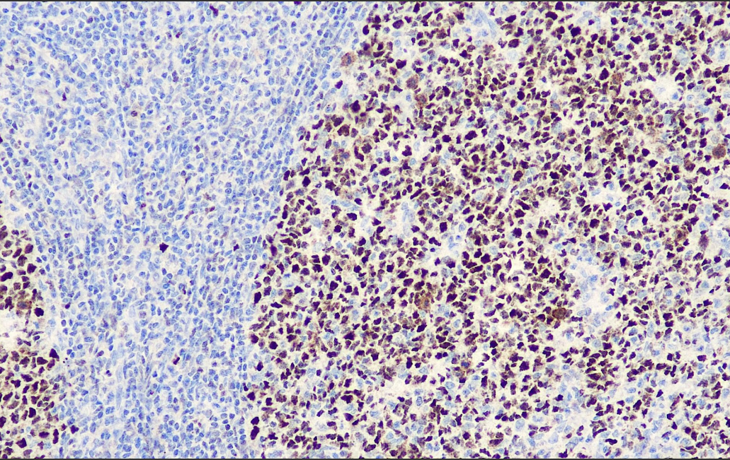
克隆号:LN22/OTIR1D9

同型:鼠单克隆抗体

细胞定位:细胞核

适用组织: 石蜡/冰冻

阳性对照: 扁桃体

抗体孵育时间:30-60min

抗原修复: 热修复(EDTA)


背景资料

Bcl-6,又名LAZ-3,是POZ/锌指(POK)家族的一个成员,其含有一个N-末端POZ结构域和6个C-末端锌指基序。Bcl-6是一个在淋巴细胞、肌细胞、雄性生殖细胞和角质化细胞生存和分化中起重要作用的转录调节因子。主要表达于正常生发中心B细胞和相关的淋巴瘤。在滤泡性淋巴瘤、弥漫性大B细胞淋巴瘤、Burkitt淋巴瘤中有不同水平Bcl-6的表达。

临床价值

Bcl-6抗体试剂可与Bcl-6分子抗原特异性结合,含Bcl-6抗体试剂的免疫组化试剂盒适用于滤泡性淋巴瘤、弥漫性大B细胞淋巴瘤、Burkitt's淋巴瘤以及结节性淋巴细胞为主的何杰金氏淋巴瘤的精准诊断。