简体中文English

PRODUCT
CD19抗体试剂
零售价格(RMB):

91217485611056

产品货号:R-0401057Ⅰ-01/R-0401057Ⅰ-02/R-0401057Ⅱ-01/R-0401057Ⅱ-02
产品型号:Ⅰ型(上机即用型)/Ⅱ型(手工即用型)
备案号:
产品简介

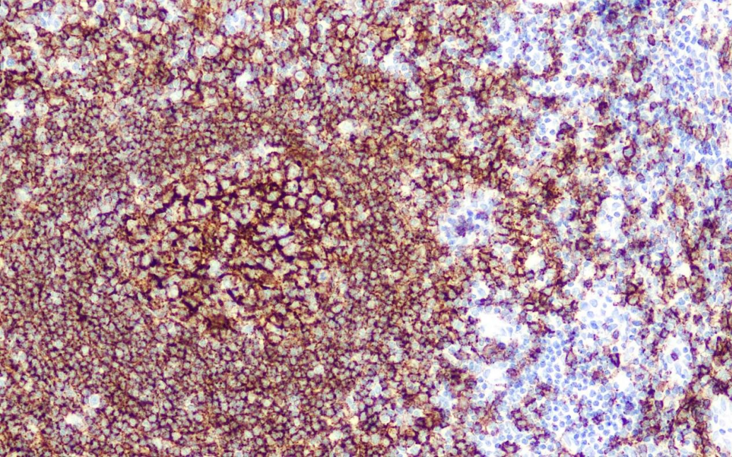
克隆号:EP169

同型:兔单克隆抗体IgG

细胞定位:细胞膜

适用组织: 石蜡/冰冻

阳性对照: 扁桃体

抗体孵育时间: 30-60min

抗原修复: 热修复(EDTA)


背景资料
Information

CD19在正常及恶性B淋巴细胞中均有表达,被视为B细胞发育过程中一个涵盖阶段较长的较可靠的表面标记物。在正常淋巴组织中,CD19表达于生发中心的B细胞和滤泡树突状细胞、套细胞、滤泡间T细胞区的树突状大细胞,与CD20和CD22染色模式基本相同,但同CD20相比,CD19在前B细胞中也表达。此外,通过流式细胞学检测方法,CD19在人体组织分离得到的浆细胞中可以检测到。通常来说CD19在B淋巴细胞瘤中表达,其中包括B淋巴细胞淋巴瘤、小淋巴细胞淋巴瘤、套细胞淋巴瘤、滤泡淋巴瘤、Burkitt淋巴瘤、边缘区淋巴瘤、弥漫性大B细胞淋巴瘤、富于T细胞的B细胞淋巴瘤、淋巴母细胞性淋巴瘤、毛细胞淋巴瘤,但表达水平比正常组织要低,浆细胞淋巴瘤和T细胞淋巴瘤通常不表达。近期Masir等人的研究表明CD19在B细胞淋巴瘤中表达缺失,其中14%弥漫性大B细胞淋巴瘤、30%富于T细胞的B细胞淋巴瘤、75%移植后B细胞增生症不表达,在经典霍奇金淋巴瘤的R-S细胞中亦不表达。



临床价值

CD19抗体试剂可与CD19分子抗原特异性结合,含CD19抗体试剂的免疫组化试剂盒适用于B淋巴细胞淋巴瘤的精准诊断。