简体中文English

PRODUCT
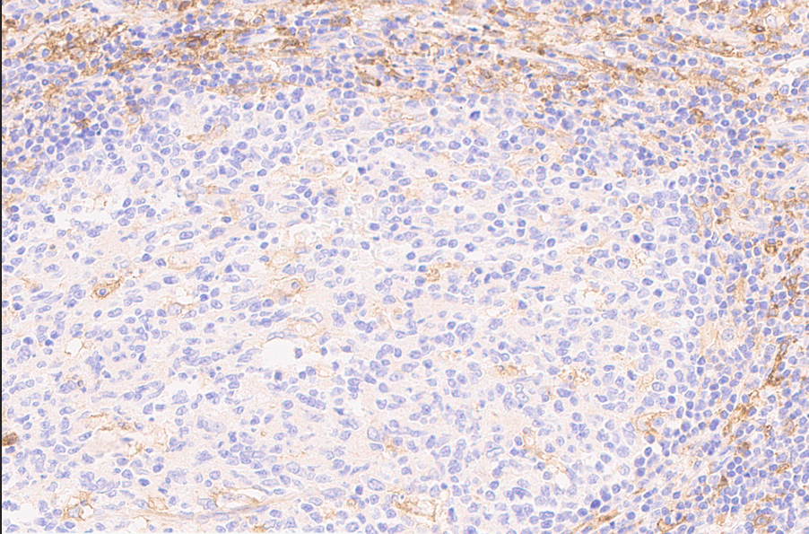
CD33抗体试剂
零售价格(RMB):

116921097701353

产品货号:R-0401067Ⅰ-01/R-0401067Ⅰ-02/R-0401067Ⅱ-01/R-0401067Ⅱ-02
产品型号:Ⅰ型(上机即用型)/Ⅱ型(手工即用型)
备案号:
产品简介

克隆号:PWS44

同型:鼠单克隆抗体

细胞定位:细胞质/膜

适用组织: 石蜡切片

阳性对照: 

抗体孵育时间: 

抗原修复: 


背景资料

CD33 是髓系细胞分化抗原,分子量为67KD,主要分布在髓系血细胞,特别是在分化的早期阶段。CD33 在90% 以上的急性髓系白血病患者都有表达。在造血干细胞表面没有表达,在成熟的粒细胞和其他组织也没有表达,因此,CD33 成为髓系白血病治疗的良好靶点。


临床价值

CD33抗体试剂可与CD33分子抗原特异性结合,含CD33抗体试剂的免疫组化试剂盒适用于髓系白血病的精准诊断。