特殊染色中的斯坦氏染色
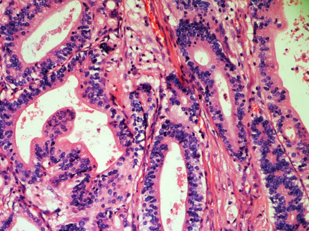
在了解斯坦氏染色之前我们先来简单了解一下HE染色,即苏木精(Hematoxylin)和伊红(Eosin)的英文首字母命名的染色。苏木精可以把细胞核染成蓝紫色,而伊红将细胞质染成红色,蓝色和红色形成了鲜明的对比,可以清晰地显示组织和细胞的形态结构(图1),它是一种快速、经济且易于掌握的方法,但它不能回答病因学、组织发生及发病机制等方面的许多问题。鉴于此,人们一直寻找其它方法探讨上述问题,并将这种在特殊情况下使用的染色技术称之为特殊染色,简称特染。换言之,特殊染色是用于显示标本中一些特殊的组织结构(成分)或细胞的染色,有利于在光镜下与其它组织或细胞区分,更好地了解观察对象的分布特点、数量变化以及达到鉴别和研究的作用。我们这里提到的斯坦氏染色就是其中的一种特殊染色方法。斯坦氏染色液是一种基于银离子的试剂盒,用于多种微生物组织的诊断,例如幽门螺旋杆菌、螺旋菌或者嗜肺军团病杆菌等。

图1_胃贲门活检组织 HE染色(20X)
幽门螺旋杆菌( Helicobacter pylori,HP)检测的诊断价值
然后我们再简单说一下HP,幽门螺杆菌( Helicobacter pylori,HP)是国内常见的人类感染菌之一,广泛存在于人类尤其是亚洲人的胃液中,是许多慢性胃病发生、发展中的一个重要致病因子。HP的感染率在我国高达50%以上。HP是主要存在于胃黏膜上皮和胃腺体黏膜之间的一种细菌,呈短杆状、两端微弯的革兰阴性杆菌。HP通常以胃窦部较多,胃体、胃底次之,有时也可出现在十二指肠,适于中性环境,故常见于胃上皮,即黏膜层之下,黏膜上皮细胞表面。HP与慢性胃炎、消化性溃疡、胃癌等关系密切。除此之外,HP在人群中的感染率非常高(40%~90%),常在儿童期感染,且一经感染,若不根除治疗,将终生携带。携带者是HP的传染源,是人类慢性活动性胃炎、消化性溃疡、胃癌和胃黏膜相关淋巴组织淋巴瘤的主要病因。1994年世界卫生组织/国际癌症研究机构(WHO/IARC)将HP定为Ⅰ类致癌原。
HP检测的方法对比
检测HP可为临床诊断和治疗提供重要的依据,选择正确的检测方法至关重要。检测HP的方法有很多种,如组织染色法、尿素酶快速实验、血清HP抗体测定、尿素酶呼吸实验、PCR检测法、活组织HP培养等等。幽门螺杆菌检测方法时机选择见下表:
检测方法 | 适用人群 | 备注 |
尿素呼气试验 | 低风险人群且胃镜检查费用高和上消化道肿瘤发病率低; 未经调查消化不良的处理。 | 不适用于胃部分切除患者。 |
粪便抗原试验 | 尿素呼气试验配合欠佳人员(儿童等); 低风险人群且胃镜检查费用高和上消化道肿瘤发病率低; 未经调查消化不良的处理。 | |
血清学试验 | 消化性溃疡出血、胃MALT淋巴瘤和严重胃黏膜萎缩。 | 不能明确是既往感染还是现患。 |
胃镜检查:组织学 | 高风险人群:年龄>35岁、有报警症状、有胃癌家族史或胃癌高发区患者; 胃部分切除患者。 | 慢性胃炎常规内镜诊断与组织学诊断符合率不高,诊断主要依据组织学检查。 |
胃镜检查:快速尿素酶试验 | 胃部分切除患者; 快速获得H.pylori检测结果,阳性者即可行根除治疗。 | 不推荐用于根除治疗后H.pylori状态的评估。 |
培养/分子生物学技术 | 检测H.pylori耐药基因突变预测耐药。 | |
常规内镜 | 随着内镜新技术的发展,内镜下观察H.pylori感染征象已成为可能。 | 准确度和特异性也存在较大差异,目前不推荐常规应用。 |
幽门螺杆菌检测方法时机选择
如上表描述慢性胃炎常规内镜诊断与组织学诊断符合率不高,诊断主要依据组织学检查,组织染色一直是各类检测的金标准。在组织学染色方面,HP的组织染色检查有HE染色、免疫组织化学(IHC)染色法以及特殊染色相关方法,如:W-S银染色法、Giemsa染色法、改良Giemsa染色法、美蓝染色法、改良美蓝染色法、斯坦氏染色法等。特殊染色法相对其他染色具有染色时间中等、成本中等、易判读等优点。患者首先通过胃镜活检钳取病变组织,然后进行病理学特殊染色检查。
W-S(Warthin-Starry)银染法是早先运用于检测HP的特殊染色方法,是组织切片染色效果较好的一种,一直以来被作为HP检测的“金标准”[5]。银染颗粒沉淀在细菌上,与组织对比明显、较易观察,但是由于试剂配制较为复杂,染色过程为进行性染色,染色数量较多时,显色时间难以掌握,染色效果不能保持均一,从而影响了诊断,取而代之的是较为简单的斯坦氏、美蓝法、碱性品红—孔雀绿、Giemsa法等方法[6]。那么,哪些染色方法是较好的选择呢?在此,我们例举了几种染色方法做对比印证,供大家参考:
1.HP的HE染色法:
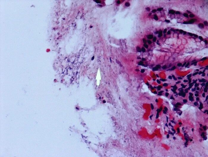
所谓HE染色法就是组织切片经常规HE染色后直接在镜下观察有无HP,HP染色后菌体和背景均呈蓝紫色,主要分布于胃小凹中或胃黏膜表面的腺腔内,呈弯曲的逗点状或小点状,需要在高倍镜下仔细观察,有时与染色过程中的杂质及污染难以区别,能检测到的菌体数较少,检测的视野也较为模糊(图2)。

图2_胃镜活检贲门组织HE染色,菌体和背景均呈蓝色(40X)
2.HP的IHC染色法:
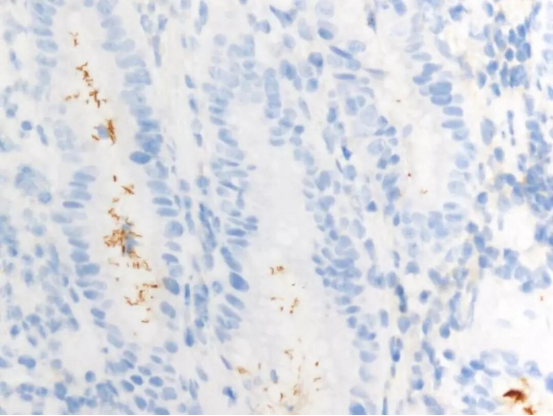
IHC染色后,HP菌体和菌体成分呈棕褐色阳性着色,与苏木精复染后的淡蓝色背景相比,相较与HE染色,易于观察判断(图3)。

图3_胃镜活检组织HP染色,菌体呈棕褐色,背景呈淡蓝色(40X)
3.HP的W-S银染色法:
W-S银染色法细菌呈棕黑色或黑色,背景呈淡黄色。

图4_胃体小弯组织HP的W-S染色,HP呈杆状、黑色。细胞核黑色,对照背景黄色(40X)
4.HP的Giemsa染色法:
HP呈淡紫色,胞质呈蓝色,细胞呈橘黄色。肉眼难以区分,需在高倍镜下仔细观察,检测出来的菌体数较少,检测结果也较为模糊(图5)。

图5_胃镜活检组织 Giemsa染色(40X)
5.HP美蓝染色法:
HP染色后和背景均呈蓝色,肉眼难以区分,需在高倍镜下仔细观察,检测出来的菌体数较少,检测结果也较为模糊(图6)。

图6_胃镜活检组织 美蓝染色(40X)
6.HP的斯坦氏染色法:
在全自动特殊染色平台上染色。

图7_胃体小弯组织HP的斯坦氏染色,HP呈杆状、黑色。细胞核黑色,对照背景黄色(40X)
7.五种HP染色方法对比:

图8_几种HP染色方法的比对
从染色结果和方法学上对比来看,HP的HE染色较难观察,只有在HP大量繁殖的情况下才能确诊。IHC染色,相较与HE染色,易于观察判断,但是其染色时间较长且成本较高。W-S染色效果较好,但银染过程繁琐,且苯二酚不稳定、不易保存,要临时配制,配制试剂所需的玻璃器皿也必需非常清洁,否则就会造成染色的失败,而且染色时间较长,需要在56℃温箱染色1h以上。全自动特殊染色配合斯坦氏特殊染色液检测胃镜标本HP更标准和简便,且易于判读、染色质量稳定。
随着免疫组化和分子病理技术的迅猛发展,部分病理学检查中常用的特殊染色方法和项目渐渐被取代或作用被弱化,但是,检测HP的特殊染色方法仍然在被广泛应用,且具有染色时间短、成本中等、易判读等优点。同时特殊染色技术是临床病理诊断中重要的辅助技术之一,目前国内大部分医院病理科的此项染色仍然是手工操作,在试剂配制、染色流程等方面,由于技术人员操作的个人差异,难以达到室间质控的标准[7]。因此全自动特殊染色配合特殊染色液,能够进一步规范特殊染色的流程,为病理医生提供高效、高质、环保型染色方案。


0752-2228195






