近年来,慢性肾脏疾病(Chronic kidney disease,CKD)的患病率在世界各国均呈现逐年递增趋势,已成为威胁全球公共健康的重大疾病之一,是造成高额医疗负担、致残致死的重大慢性疾病。2012 年一项全国多中心、横断面的 CKD 患病率调查结果显示,我国成年人群的 CKD 患病率高达 10.8%,初步估算全国约有 1.2 亿人患有慢性肾脏病。而肾脏病的准确诊断离不开规范化的肾活检病理检查。
根据2018年发布的《肾活检病理规范化诊断专家共识》,肾活检病理检查可明确肾脏疾病的病理改变和病理类型,对于肾脏疾病的诊断、治疗方案制定、预后判断等具有重要意义;常规的肾活检病理检查,应包括光学显微镜(光镜)、免疫病理(免疫荧光为主)及电子显微镜(电镜)检查,3种检查反映的病理改变的重点不同,相互结合和补充,才能做出规范化的病理诊断。
目前在病理诊断领域,病理医师主要通过HE染色在镜下观察组织形态,并辅以免疫组织化学、特殊染色、分子检测及电子显微镜等协助诊断。在肾脏疾病的病理诊断中,主要通过特殊染色、免疫荧光及透射电子显微镜检查进行综合判断。其中特殊染色技术在部分肾脏疾病的病理诊断中起着重要作用,如薄基底膜肾病、膜增生性肾病、肾脏淀粉样变性等等。
本文将对特殊染色技术在肾脏病理诊断中的应用进行详细的介绍,主要包括PAS染色、Masson三色染色和六胺银染色。
PAS染色
过碘酸希夫染色(Periodic Acid-Schiff stain,PAS)又称糖原染色,是病理科常用的特殊染色方法。
过碘酸是一种氧化剂,能使细胞内的多糖乙二醇基氧化成二醛,再与希夫(Schiff)试剂中的无色品红结合,生成新的红色至紫色的复合物而定位于胞质内,从而可以显示肾小球基底膜、黏液、糖原、真菌等多种物质,在肾活检组织光镜病理检查中是必备染色。
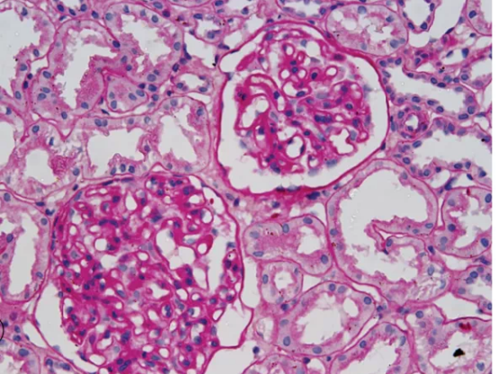
PAS染色显示基底膜、系膜基质、糖原及糖蛋白呈紫红色,细胞核呈蓝色,非常适合于观察基底膜病变、细胞外基质的增多、各种细胞的增生及渗出、鉴别沉积的物质是否富含糖链等病变。

图 1:膜性肾病中的PAS染色,细胞核呈蓝色,基底膜及肾小球系膜基质呈红色。

图 2:IgA肾病中的PAS染色,细胞核呈蓝色,基底膜及肾小球系膜基质呈红色。
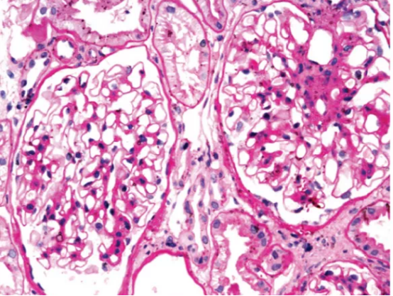
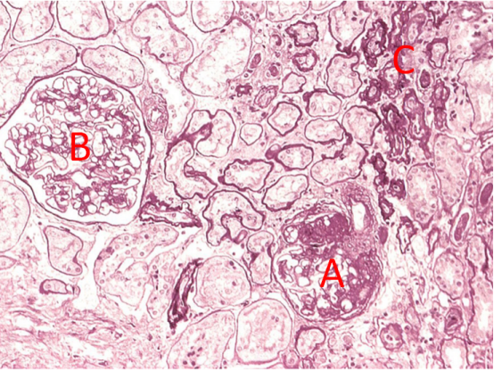
局灶节段性肾小球硬化症的患者,肾小球显示节段性硬化时基底膜皱缩浓染,肾小球病变不明显,基底膜完整,可见肾小管的萎缩。

图 3:局灶节段性肾小球硬化症(A:基底膜皱缩浓染,B:肾小球病变不明显,C:肾小管萎缩)。
Masson三色染色
Masson三色染色(Masson-trichrome)又称马松三色染色,是一种经典的结缔组织染色方法,利用两种或三种阴离子染料混合完成染色,阴离子染色分子大小和组织的渗透性有关,根据不同组织渗透性不同,选择不同大小阴离子染色可将胶原纤维、弹力纤维和网状纤维分别显示为不同的颜色。
马松三色染色因为其特殊的技术原理,可以很好的区分胶原纤维、弹力纤维和网状纤维,这是普通HE染色很难做到的。特别是像肾小球基底膜组织含有丰富的胶原纤维(I型胶原纤维和IV型胶原纤维),马松三色染色可以很好的显示出肾小球基底膜。
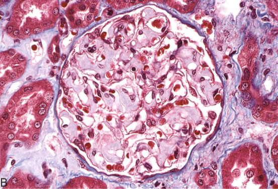
在肾脏淀粉样变性中,无细胞无定形的淀粉样蛋白沉积在系膜区并呈斑片状向肾小球毛细血管壁延伸,马松三色染色中肾小球系膜呈红色,淀粉样蛋白呈灰蓝色。


图 4:肾脏淀粉样变性的马松三色染色(红色为肾小球系膜,灰蓝色为淀粉样蛋白)。
恶性高血压时,马松三色染色可见肾脏入球小动脉纤维素样坏死和系膜水肿,伴有肾小球毛细血管袢缺血皱缩。

图 5:恶性高血压的肾脏改变(A:纤维素样坏死,B:毛细血管袢缺血皱缩)。
过碘酸六胺银染色
过碘酸六胺银染色(periodic-acid silver methenamine,PASM)又称六胺银染色,原理是组织细胞内多糖化合物经络氨酸氧化后暴露醛基,被六胺银还原成黑色的金属银而着色。
六胺银染色常用于显示曲霉菌、毛霉菌、新型隐球菌和放线菌,还可以清晰地显示毛细血管及肾脏的基底膜。
在肾脏组织染色中,六胺银染色可以更清晰地显示基底膜病变与细胞外基质,便于对基底膜的钉突、链环和双轨征的观察,同时也可以观察鲍曼囊壁、动脉的血管弹力膜和嗜银蛋白的沉积等情况。


0752-2228195






